Quando il mal di testa è causato da un parassita

Dr.ssa Elisabetta Ciccolella Farmacista
Redatto scientificamente da Dr.ssa Elisabetta Ciccolella, Farmacista |
A cura di Alessandra Lucivero

Data articolo – 16 Settembre, 2015

Pronti per leggere una storia da incubo? Parliamo di un terribile mal di testa e di una scoperta quasi disgustosa che ha sconvolto medici e paziente.

La storia

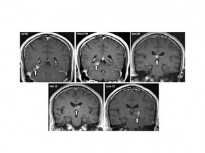
Yadira Rostro, una giovane donna di 31 anni di Garland, in Texas, dopo aver sofferto di un mal di testa continuo e particolarmente intenso e della perdita della vista, si è affidata alle cure degli specialisti che, analizzando con attenzione il suo caso, hanno individuato la causa del disturbo in un parassita, appartenente alla famiglia del phylum Platelminti, e nelle sue 8 uova depositate saldamente nel cervello della povera donna.

Ma come è stato possibile?

Sorprendente come un piccolo e orrendo verme trovi un piacevole habitat nel cervello. Ma la vera domanda è: come può esserci arrivato? Semplice (e preoccupante): il parassita è entrato nel corpo della donna attraverso del cibo contaminato con materia fecale, contenente un verme solitario o delle uova dello stesso, consumato in quella che sarebbe dovuta essere una rilassante vacanza, due anni prima.

Le tenie, normalmente, passano attraverso il corpo in modo abbastanza innocuo, ma di tanto in tanto i parassiti possono viaggiare in diverse parti, sfruttando il flusso sanguigno e finiscono col depositare le uova anche nei posti più rischiosi per la salute, come il cervello.

Cosa hanno deciso i medici?

La decisione è stata immediata: rimuovere le uova dal cervello e iniziare una terapia di recupero per la paziente.

È il primo caso del genere?

Ahimè, no. Ci sono stati altri casi simili in passato. Un uomo, in Gran Bretagna, ha vissuto per quattro anni con un verme parassita sempre nel cervello, preso mangiando crostacei e rane cinesi. Risultato? Forti mal di testa e un olfatto alterato. La tenia, lunga ben un centimetro, si era fatta strada, sino a che i medici dell’ospedale Addenbroke di Cambridge si sono resi conto della presenza del parassita, con una risonanza al cranio.

1

 

Insomma, attenti a ciò che mangiate! E, in caso di mal di testa frequente, niente paura. Se un parassita c’è, verrà scoperto!

Ultimo aggiornamento – 12 Gennaio, 2021

Le informazioni proposte in questo sito non sono un consulto medico. In nessun caso, queste informazioni sostituiscono un consulto, una visita o una diagnosi formulata dal medico. Non si devono considerare le informazioni disponibili come suggerimenti per la formulazione di una diagnosi, la determinazione di un trattamento o l’assunzione o sospensione di un farmaco senza prima consultare un medico di medicina generale o uno specialista.
Contenuti correlati
Medico con mascherina che parla con un paziente adolescente
Parkinson giovanile: scopri i segnali iniziali che non devi ignorare

Parkinson giovanile: ecco quali sono i primi sintomi che si manifestano nel Parkinson giovanile, e le cause di questa malattia neurodegenerativa.

Coppia di anziani, uomo e donna, medita seduta sull'erba in un parco alberato.
Perché vivere vicino al verde potrebbe proteggere la tua mente? Lo svela la scienza

Uno studio globale rivela che vivere vicino a spazi verdi potrebbe ridurre ricoveri per ansia, demenza e dipendenze: ecco come la natura salva la mente.