Eseguito il primo intervento al mondo di riduzione del pene

Dr.ssa Elisabetta Ciccolella Farmacista
Redatto scientificamente da Dr.ssa Elisabetta Ciccolella, Farmacista |
A cura di Alessandra Lucivero
Seguici su Google Discover

Data articolo – 18 Febbraio, 2015

Non sempre le dimensioni contano, seppur quando si parla di pene, la convinzione generale vuole che “tanto” sia sinonimo di gloria e fierezza. Ma, a volte, “il troppo storpia”, ed è questo il caso di un giovane ragazzo di 17 anni che, in Florida, è stato costretto a sottoporsi a un intervento di riduzione del pene, per la prima volta al mondo.

Il caso

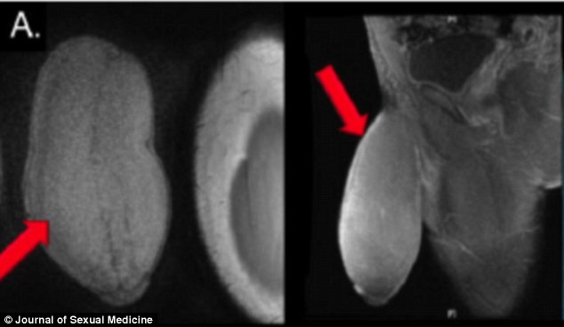
La notizia ha subito riecheggiato da Stato a Stato, superando l’oceano per giungere alle nostre orecchie attente. L’ironia si spreca, qualche sorrisino anche, ma la vera notizia sta nel valore e nella grandezza dell’intervento eseguito, che apre la strada a nuove soluzioni di terapia chirurgica. Nel caso specifico del ragazzo “super-dotato”, i medici si sono trovati davanti a un pene di 18 cm di lunghezza e 25 cm di larghezza, una dimensione eccezionale, a tal punto da limitare la vita del paziente, impossibilitato a indossare gli abiti comuni dei teenager, a praticare attività sportive e, soprattutto, ad avere una normale e sana vita sessuale.

pene

Ovviamente, è subito partita una indagine medica, poi pubblicata sul The Journal of Sexual Medicine, dove è emerso che, tra i disturbi manifestati dal paziente, c’era anche una fastidiosa forma di priapismo, ovvero un’erezione improvvisa e involontaria che deformava l’organo sessuale, rendendolo, a dire dei medici, delle dimensioni di un pallone da rugby.

Le impressioni degli specialisti

Sembra il sogno di ogni uomo ma, sfortunatamente, nonostante la lunghezza e la durata generose, la circonferenza era esagerata, soprattutto nel mezzo“, ha spiegato il medico curante del giovane ragazzo, il dottor Rafael Carrion, urologo alla University of South in Florida.

Davanti a questo caso unico al mondo, lo specialista non ha fatto altro che scegliere la strada terapeutica più conveniente per la salute del paziente: l’intervento. Per l’operazione si è eseguita la procedura standard che si usa per trattare la malattia di Peyronie.

L’intervento è andato a buon fine. Risultato? Un pene come nuovo, di dimensioni generose, ma tutto sommato normali. “Il paziente era sorridente e completamente soddisfatto“, ha affermato il dr. Carrion, sottolineando soprattutto che l’organo non è stato assolutamente leso in sensibilità e vigore.

Un grande successo, che può far star tranquilli gli uomini.

Le informazioni proposte in questo sito non sono un consulto medico. In nessun caso, queste informazioni sostituiscono un consulto, una visita o una diagnosi formulata dal medico. Non si devono considerare le informazioni disponibili come suggerimenti per la formulazione di una diagnosi, la determinazione di un trattamento o l’assunzione o sospensione di un farmaco senza prima consultare un medico di medicina generale o uno specialista.
Contenuti correlati
Un'infermiera discute informazioni mediche con una donna caucasica di mezza età in un contesto clinico; l'infermiera tiene in mano un tablet digitale mentre la paziente ascolta attentamente durante la consultazione.
Esami preventivi: la guida completa per sapere cosa controllare dai 20 ai 70 anni (e oltre)

Check-up annuale: quali esami fare in base all'età? Il medico di medicina generale spiega come costruire un percorso di prevenzione efficace.