Cadute improvvise e debolezza continua: era una bolla d’aria nel cervello

Dr.ssa Elisabetta Ciccolella Farmacista
Redatto scientificamente da Dr.ssa Elisabetta Ciccolella, Farmacista |
A cura di Camilla Mantegazza

Data articolo – 19 Marzo, 2018

Pneumocefalo: una bolla d'aria nel cervello

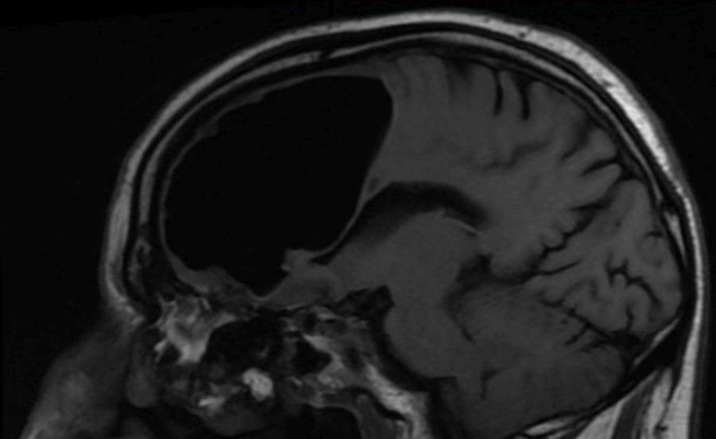
La colpa era di un ictus, sostenevano i medici. Cadute improvvise e debolezza a braccia e gambe ne erano sintomi più che mai evidenti. Eppure si sbagliavano. Niente ictus: il paziente 84enne aveva nel cervello una grande bolla di aria, una tasca di quasi nove centimetri nel lobo frontale destro. Soffriva di pneumocefalo. Vediamo insieme di cosa si tratta.

Pneumocefalo: quando nel cervello si forma una bolla d’aria

A riportare il caso clinico è il British Medical Journal Case Reports: la bolla d’aria nel cervello è nota nel campo medico come  pneumocefalo. Non si conoscono praticamente casi simili al mondo o, nel caso, sembrano essere davvero molto rari.

Stando alle prime informazioni, l’anziano era stato mandato al pronto soccorso di Belfast, in Irlanda, dal suo medico di base dopo numerosi casi di perdita di equilibrio, che andavano di pari passo a una stanchezza continua che sembrava non volersi placare.

Il paziente, però, «non presentava confusione mentale, debolezza facciale, disturbi visivi o del linguaggio – hanno scritto i medici – Era comunque in forma e stava bene, indipendente nelle attività fisiche della vita quotidiana […] e viveva a casa con sua moglie e i due figli».

Ma le scansioni del cervello, tramite TAC e MRI, hanno portato alla luce una strana scoperta: non era un ictus, ma una condizione nota come pneumocefalo. Insomma, l’anziano presentava un grande vuoto nel cervello, laddove avrebbe dovuto esserci il lobo frontale destro.

Purtroppo, di questo disturbo – poiché molto raro – non si sa molto. Secondo uno studio pubblicato nel 2015 sulla rivista Surgical Neurology International, lo pneumocefalo è dovuto nella grande maggioranza dei casi a traumi, oppure a complicanze neurochirurgiche o, ancora, a tumori ossei.

Sembra essere proprio quest’ultimo il caso dell’anziano 84enne. Un piccolo tumore osseo benigno – noto come osteoma – si era formato nei seni paranasali ed era penetrato attraverso la base del cranio, provocando il passaggio dell’aria dal naso alla cavità cranica. La debolezza degli arti era invece dovuta a un piccolo ictus verificatosi nel lobo frontale del paziente, come effetto secondario della compressione della sacca d’aria sul sangue nel cervello.

La prognosi rimane riservata

Ovviamente, al paziente è stato subito offerto un trattamento chirurgico, per rimuovere in modo temporaneo la parte dell’osso frontale del cranio, così come il tumore benigno.

Tuttavia, l’84enne ha deciso di rifiutare l’intervento, optando invece per un trattamento conservativo con farmaci, per scongiurare il rischio di eventuali ictus secondari. L’età e altri fattori di salute, infatti, hanno portato l’uomo verso questa scelta.

Fortunatamente, dopo 12 settimane, il paziente si sentiva molto meglio e non lamentava più quella stanchezza muscolare di cui prima soffriva. Nè la vista né il linguaggio, inoltre, sembrano essere stati compromessi.

Nonostante ciò, a causa della mancanza di studi sulla valutazione dello pneumocefalo, la prognosi dell’uomo rimane ancora riservata.

I medici, però, sembrano essere ottimisti: «Si può stare bene anche con meno corteccia cerebrale: a volte il cervello semplicemente si riorganizza e la natura è abbastanza intelligente da trovare modi per guarire. Molti casi di pneumocefalo non hanno neanche sintomi e alla fine vengono assorbiti dal corpo senza trattamento».

Le informazioni proposte in questo sito non sono un consulto medico. In nessun caso, queste informazioni sostituiscono un consulto, una visita o una diagnosi formulata dal medico. Non si devono considerare le informazioni disponibili come suggerimenti per la formulazione di una diagnosi, la determinazione di un trattamento o l’assunzione o sospensione di un farmaco senza prima consultare un medico di medicina generale o uno specialista.
Contenuti correlati
Un team di scienziati professionisti lavora nel laboratorio di ricerca sul cervello. Neurologi e neuroscienziati, circondati da monitor che mostrano scansioni TC e RM, discutono e lavorano al computer.
La prevenzione neurologica al centro: sinergia tra SIN, Croce Rossa e Aletheia

Arriva l'accordo strategico per combattere le malattie del cervello. Tutti i dettagli sulla collaborazione per una diagnosi sempre più precoce.