Il dolore alla schiena, e in particolar modo quello lombare, è piuttosto comune e la maggior parte di coloro che ne soffrono ha la possibilità di individuarne l’origini: del lavoro extra in giardino, una sessione troppo intensiva di sport oppure uno spostamento fatto in maniera inadeguata di mobili e pesi in genere. Tuttavia, quasi un quarto dei pazienti sotto i 45 anni soffre di dolore lombare continuo causato, a volte, dalla spondilite anchilosante. Ecco le principali caratteristiche di tale patologia.
Cos’è la spondilite anchilosante?

Questo nome particolarmente complicato, e spesso abbreviato in SPA, indica sostanzialmente un’infiammazione della spina dorsale. La SPA differisce non poco dalle altre forme di dolore lombare, perché non è il risultato di una lesione muscolare o meccanica. La spondilite anchilosante è una malattia dovuta a una infiammazione cronica e impropria.Proprio come altre malattie autoimmuni, come per esempio l’artrite reumatoide o il diabete di tipo 1, l’infiammazione cronica causa il danneggiamento dei tessuti e una riduzione delle normali funzioni.
Cosa causa la SPA?
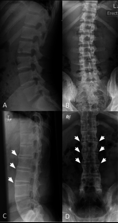
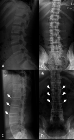
L’esempio più grave di SPA nei pazienti è la colonna vertebrale a canna di bambù, ossia la fusione delle vertebre che ne riduce la possibilità di movimento. I pazienti che soffrono di spondilite anchilosante non grave, come il caso estremo descritto in precedenza, soffrono comunque moltissimo e l’impatto sulle attività di tutti i giorni e sui lavori di routine può essere molto alto.
Quali sono i sintomi della spondilite anchilosante?
Le relazione familiari, d’amicizia e l’attività sessuale possono risentire enormemente della presenza della malattia, a causa di sintomi, quali:
- stanchezza
- rigidità
- dolore, che peggiora la mattina ma è costante di notte
Anche il dolore saltuario ai glutei può essere considerato un comune sintomo di SPA. Le persone che soffrono di spondilite anchilosante possono anche soffrire di dolore a:
- spalle
- petto
- schiena superiore
- anche
- ginocchia
- piedi
- occhi
Quali sono i soggetti più a rischio?
I sintomi della spondilite anchilosante appaiono in maniera molto graduale, generalmente, quando i pazienti sono ancora adolescenti o si affacciano sulla soglia dei vent’anni. In genere, è maggiormente diagnosticata negli uomini rispetto alle donne.
In cosa consiste la spondilite anchilosante?
La spondilite anchilosante è una malattia infiammatoria che può causare la fusione delle vertebre della spina dorsale. Questa fusione rende la colonna vertebrale meno flessibile ed è responsabile della postura ingobbita. Se insorge anche nelle costole, può complicare la respirazione. Tale patologia è inserita nel gruppo delle Malattie Reumatiche Infiammatorie Croniche e Autoimmuni.
Nello specifico, la malattia insorge a causa di un’infiltrazione di macrofagi e altre sostanze del sistema immunitario nelle cartilagini, che provoca l’infiammazione delle articolazioni. Tale infiammazione, se non debitamente curata, dà origine al tessuto cicatriziale, formando dei ponti ossei tra le articolazioni e impedendo così il movimento delle vertebre.
Dove insorge maggiormente?
Le aree più comunemente colpite dalla spondilite anchilosante comprendono ossa e articolazioni, come:
- la congiunzione tra la base della spina dorsale e il bacino;
- le vertebre lombari;
- le aree in cui tendini e legamenti si collegano con le ossa, particolarmente nella spina dorsale;
- la cartilagine tra sterno e costole;
- fianchi e articolazioni delle spalle.
Come si cura la spondilite anchilosante?
Sfortunatamente, non esiste cura per la spondilite anchilosante, ma esistono ottimi metodi per tenerla sotto controllo, specialmente se diagnosticata nei primi stadi del corso della malattia e l’infiammazione distruttiva può essere contenuta. Tuttavia, il problema consiste proprio nel diagnosticare per tempo la malattia, perché nella maggior parte dei casi la diagnosi viene eseguita solo negli ultimi stadi, quando la malattia ha fatto danni considerevolmente gravi. Non è insolito che la diagnosi venga eseguita in maniera definitiva nell’arco di una decade, perché il dolore cronico alla schiena è un sintomo considerato troppo comune.
Il primo passo per la cura consiste nella consapevolezza della malattia, pertanto è necessario informare il soggetto sulle sue condizioni e su quali sintomi potrebbe sperimentare in futuro, per poterci convivere. Il medico potrebbe suggerire un cambiamento dello stile di vita, una diminuzione del carico di lavoro, uno specifico programma di esercizi e dei farmaci appropriati.
La maggior parte dei pazienti trattati con farmaci antinfiammatori non steroidei risponde bene alla cura, dimostrando una riduzione sia del dolore che dell’infiammazione. I pazienti che non rispondo bene a tali cure possono essere trattati con farmaci antagonisti del fattore di necrosi, che agiscono bloccando una proteina, considerata la causa principale dell’infiammazione della spondilite anchilosante, e riducendo il dolore e altri sintomi associati alla malattia.
Essendo importante la diagnosi precoce, sarebbe opportuno diffondere la conoscenza di tale malattia per rendere possibile per tempo una cura. Come sempre, l’informazione è la prima fonte di prevenzione.