Mielodisplasia: come si riconosce questa malattia del midollo osseo?

Dr.ssa Elisabetta Ciccolella Farmacista
Redatto scientificamente da Dr.ssa Elisabetta Ciccolella, Farmacista |
A cura di Redazione

Data articolo – 18 Maggio, 2022

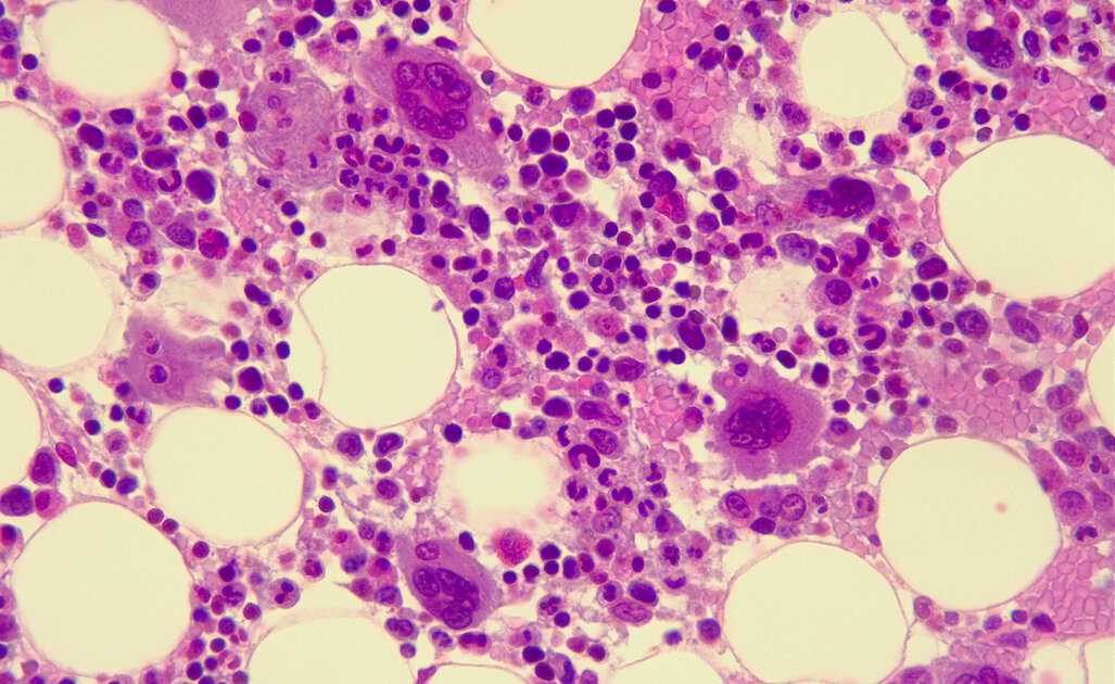
Sindrome Mielodisplastica: Sintomi e Cure

Le sindromi mielodisplastiche (MDS, conosciute anche come mielodisplasia) si verificano quando le cellule staminali emopoietiche prodotte del midollo osseo non funzionano correttamente, non riuscendo a diventare cellule del sangue sane (dunque, globuli rossi, globuli bianchi e piastrine).

Si tratta di una patologia del sangue rara, la cui diagnosi spesso avviene senza tempestività, in quanto la mielodisplasia può svilupparsi silenziosamente e senza sintomi precoci. Questa malattia colpisce prevalentemente le persone dai 70 anni di età.

Ma quali sono i sintomi delle sindromi mielodisplastiche? In cosa consiste la terapia se si soffre di questo disturbo? Qual è l’aspettativa di vita in caso di mielodisplasie? Approfondiamo insieme l’argomento.

I sintomi della sindrome mielodisplastica

Come accennato in precedenza, la mielodisplasia può essere del tutto asintomatica, inoltre, i sintomi possono essere riconducibili a quelli di altre patologie.

Tuttavia, tra i sintomi più delle sindromi mielodisplastiche si possono menzionare:

  • Anemia
  • Debolezza e affanno 
  • Pallore 
  • Petecchie 
  • Sanguinamenti
  • Infezioni e febbre
  • Lividi

La riduzione del numero delle piastrine (piastrinopenia), così come l’abbassamento dei globuli bianchi (leucopenia) possono causare, oltre ai sintomi soprammenzionati, anche la leucemia mieloide acuta.  

Si tratta di una malattia che colpisce le cellule del sangue prodotte dal midollo osseo che, per via della velocità con cui progredisce, si definisce acuta, appunto. Si stima che ogni anno, in Italia, la leucemia mieloide acuta colpisca circa 2000 persone, di cui la in prevalenza uomini.

Per questi motivi, è sempre necessario rivolgersi al proprio medico, la cui diagnosi sarà inizialmente supportata dagli esami del sangue e del midollo osseo. 

Qual è la terapia?

Il trattamento delle sindromi mielodispalstiche dipende dalla tipologia di cui soffre il paziente, classificate in base al tipo e alla quantità di alterazioni cellulari.

La terapia per la mielodisplasia è volta principalmente a rallentare il decorso della malattia, cercando di intervenire sui sintomi e di ridurne le possibili complicanze. I trattamenti utili a contrastare la patologia comprendono:

  • Farmaci: la somministrazione di farmaci può avvenire per ridurre i sintomi dell’anemia e stimolare la maturazione delle cellule del sangue. La terapia farmacologica, generalmente, è a base di azacitidina, lenalidomide, decitabina.
  • Chemioterapia: soprattutto nei casi di leucemia mieloide acuta si può intervenire attraverso la chemioterapia, che mira a distruggere le cellule tumorali.
  • Trapianto di cellule staminali emopoietiche: attraverso il trapianto di midollo osseo si sostituiscono le cellule staminali che non funzionano con quelle di un donatore. Si sussegue alla chemioterapia e si tratta di un procedura che, pur configurandosi come la più adatta a contrastare la sindrome mielodisplastica, non è esente da complicazioni ed è più idonea per i pazienti giovani.
  • Trasfusioni di sangue: si può ricorrere alle trasfusioni di sangue per sostituire le piastrine e i globuli rossi danneggiati.
  • Terapia immunosoppressiva: per alcuni tipi di sindromi mielodisplastiche l’utilizzo di immunosoppressi (come la cicosporina) può agire sul sistema immunitario, così da rallentare la malattia. 

Le ricerche sulle terapie per la mielodisplasia sono in continua evoluzione. In ogni caso, soprattutto in presenza di sintomi, lo specialista sceglierà la terapia più adatta, tenendo in considerazione il tipo di sindrome mielodisplastica, la storia clinica del paziente e il rischio di sviluppare il tumore. 

Per quanto riguarda, invece, l’aspettativa di vita, anch’essa dipende dalle condizioni individuali del soggetto e dal grado di avanzamento della malattia , che va da un rischio basso a un rischio più alto. Gli ultimi casi sono caratterizzati dal peggioramento della mielodisplasia in un tempo breve che, oltre all’evoluzione in leucemia mieloide acuta, presentano un aspettativa di vita molto più bassa.

Le informazioni proposte in questo sito non sono un consulto medico. In nessun caso, queste informazioni sostituiscono un consulto, una visita o una diagnosi formulata dal medico. Non si devono considerare le informazioni disponibili come suggerimenti per la formulazione di una diagnosi, la determinazione di un trattamento o l’assunzione o sospensione di un farmaco senza prima consultare un medico di medicina generale o uno specialista.
Contenuti correlati
Un signore anziano che sorride con i capelli bianchi
Capelli bianchi: perché potrebbero essere un segnale di autodifesa del corpo

Secondo l’Università di Tokyo, l’ingrigimento dei capelli nasconde un meccanismo di difesa naturale contro i danni al DNA. Scopri come funziona davvero.

Del cioccolato fondente
Ma è vero che il cioccolato fondente può rallentare l’invecchiamento?

Un composto del cacao potrebbe rallentare l’invecchiamento biologico: clicca qui e scopri cosa rivela la nuova ricerca sulla teobromina.