Bambina nata incinta di due gemelli: ecco come è stato possibile

Dr.ssa Elisabetta Ciccolella Farmacista
Redatto scientificamente da Dr.ssa Elisabetta Ciccolella, Farmacista |
A cura di Andrea Salvadori

Data articolo – 25 Febbraio, 2015

La condizione medica per cui un bambino nasce con il suo malformato gemello all’interno del suo stesso corpo è così rara che è stata documentata meno di 200 volte nella letteratura scientifica. Ora, i medici hanno riportato un esempio ancora più insolito di questa rara anomalia dello sviluppo: una bambina nata con due feti dentro l’addome.

È il caso di una bambina cinese nata presso il Queen Elizabeth Hospital di Hong Kong nel novembre 2010. Un’ecografia, mentre era ancora nel grembo della madre, ha permesso di rilevare una massa abnorme all’interno del suo addome, che i medici sospettavano essere un tumore o un’emorragia.

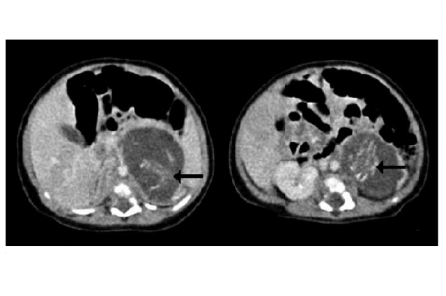
Fetus in fetu

Un esame più approfondito ha permesso di rilevare la presenza di due lunghe ossa e di una colonna vertebrale. I medici hanno quindi deciso di operare la neonata dopo soli 14 giorni dalla nascita e l’estrazione delle due masse ha reso possibile scoprire che si trattava di due feti, uniti da un cordone ombelicale.

L’esame delle masse asportate ha dunque rivelato due feti, dotati entrambi di cordone ombelicale, spina dorsale e piccoli organi. Pur essendo di diverse dimensioni, il livello di sviluppo era identico. Entrambi possedevano quattro arti, spine segmentate, gabbie toraciche ben sviluppate, tessuto cerebrale primitivo, intestini, un ano e pesavano 14 e 9 grammi. Il fenomeno è conosciuto come fetus in fetu.

gemelli

Ma quali sono le possibile cause?

L’Organizzazione Mondiale della Sanità classifica questo fenomeno come un teratoma altamente organizzato, una sorta di tumore composto da due o tre strati di cellule. Secondo altri studiosi, si tratterebbe invece di una rara anomalia dello sviluppo embrionale nella quale i tessuti che formano un feto crescono e si differenziano all’interno del corpo di un gemello normalmente sviluppato.

È quindi una gravidanza gemellare atipica, in cui parte delle cellule staminali si localizzano tra le cellule dell’embrione che si sta formando e procedono a una differenziazione autonoma all’interno di quello che è suo fratello.

Sebbene la maggior parte dei casi sia stata riscontrata in addome, altri luoghi segnalati comprendono lo scroto e l’interno del cranio.

Insomma, una spiegazione scientifica pare esserci. Rimane comunque lo stupore per un caso quasi unico nel suo genere.

 

 

Ultimo aggiornamento – 07 Aprile, 2021

Le informazioni proposte in questo sito non sono un consulto medico. In nessun caso, queste informazioni sostituiscono un consulto, una visita o una diagnosi formulata dal medico. Non si devono considerare le informazioni disponibili come suggerimenti per la formulazione di una diagnosi, la determinazione di un trattamento o l’assunzione o sospensione di un farmaco senza prima consultare un medico di medicina generale o uno specialista.
Contenuti correlati
Un uomo che fa violenza su una donna.
Emergenza violenza sulle donne: ecco cosa emerge dal nuovo report Fondazione Onda ETS

Un nuovo report rivela criticità profonde nella prevenzione della violenza sulle donne: educazione carente, difficoltà a intervenire e conseguenze psicologiche gravi. Ecco perché, secondo il nostro specialista, è un'emergenza di salute pubblica.