Il fegato è uno degli organi più importanti e può essere colpito da numerosi disturbi, come l’epatite. Scopriamoli insieme in questo articolo.
Il fegato è uno degli organi più importanti e può essere colpito da numerosi disturbi, come l’epatite. Scopriamoli insieme in questo articolo.
I benefici di pistacchi e noci per la nostra salute: eccoli nell’articolo!
Quali sono i benefici del sesso? Molti di più di quelli che credete!
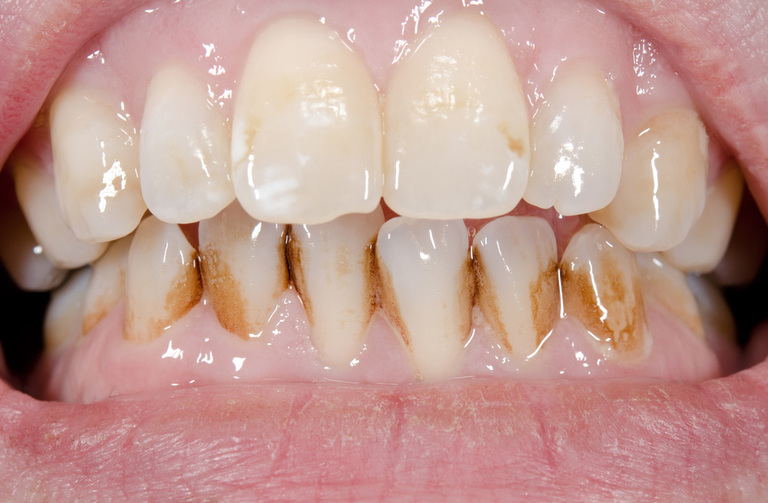
Quali sono i cibi che possono provocare Danni ai nostri Denti? Ecco qui la risposta!
Pensate di fare Prevenzione per la vostra Salute nel modo migliore? Allora vi consigliamo di leggere questo articolo!
Avete mai pensato di iniziare a praticare sollevamento pesi? Ve lo consigliamo… a quanto pare è un toccasana!
Una soluzione per prevenire l’obesità? Secondo un recente studio, la corsa.
Quali sono le cattive abitudini che rallentano il metabolismo e come accelerarlo nuovamente? Scopriamolo insieme!
Se è il male al collo ad affliggervi vi diamo qualche consiglio per combattere il fastidio, partendo con il capire le cause che lo generano.
Il paracetamolo è un antidolorifico efficace, lo è talmente tanto che oltre a eliminare il nostro dolore ci rende incapaci di sentire quello degli altri.
Un nuovo passo in avanti è stato compiuto da un team di ricercatori: alcune cellule della pelle sono state trasformate in cellule cardiache.
Non tutti i disturbi alimentari sono famosi: ecco cosa è bene sapere per rapportarci al meglio al cibo.