10 rimedi per curare le gengive sanguinanti

Dr.ssa Elisabetta Ciccolella Farmacista
Redatto scientificamente da Dr.ssa Elisabetta Ciccolella, Farmacista |
A cura di Antonia de Gioia

Data articolo – 12 Febbraio, 2019

Cosa fare per le gengive sanguinanti?

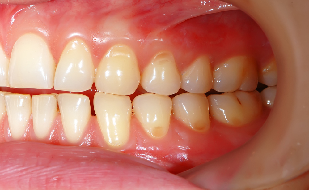
Se guardando allo specchio la vostra bella dentatura notate gengive gonfie e sanguinanti è il caso di prendere le dovute precauzioni.

Il sanguinamento delle gengive è un fenomeno molto comune: la principale causa è la gengivite, un’infiammazione dovuta ad un accumulo protratto nel tempo di placca che, qualora non venisse tratta, potrebbe anche causare la formazione di carie.

Non è sempre colpa della placca, però. Casi di gengive sanguinanti si verificano anche nelle donne incinte a causa di modificazioni ormonali o nei soggetti che hanno subito un trauma o una lesione a carico del tessuto gengivale. Ma quali sono i rimedi per le gengive che sanguinano? Vediamoli insieme.

Cosa fare per le gengive sanguinanti

Se notate del sangue fuoriuscire dalle gengive, a prescindere dalla causa che ne ha generato il fenomeno, è bene agire nell’immediato.

Ecco alcuni semplici rimedi naturali per le gengive sanguinanti:

  1. Acqua salata – Risciacqui con acqua salata aiutano a lenire i tessuti gengivali. È bene non esagerare con le quantità di sale, un uso eccessivo può provocare l’irritazione dei tessuti. L’impiego di questa soluzione è sconsigliato a soggetti che soffrono di ipertensione.
  2. Impacco freddo – Un impacco di ghiaccio sulle gengive applicato più volte durante la giornata, oltre a limitare il flusso del sangue, lenisce il dolore a carico delle gengive.
  3. Olio commestibile – Massaggiare delicatamente dell’olio di oliva, di cocco, di sesamo o di girasole su gengive che sanguinano è un ottimo rimedio contro le infezioni, sebbene non tutta la comunità scientifica si trovi in accordo con tale assunto.
  4. Bicarbonato di sodio o perossido di idrogeno – Dopo la spazzolatura dei denti, se le vostre gengive risultano sanguinanti, provate dei risciacqui con acqua e bicarbonato o perossido di idrogeno. Tale soluzione risulta un ottimo disinfettate per tutta la bocca.
  5. Erbe e oli – Alcuni oli essenziali ed erbe naturali risultano un toccasana per le infiammazioni a carico delle gengive. In particolare la calendula è utile per curare gengivite e formazione di placca, l’arnica o l’olio di origano sono utilizzate per lenire il dolore gengivale.
  6. The verde – Si tratta di un vero e proprio collutorio naturale. Risciacqui quotidiani con soluzioni di acqua e qualche goccia di the verde aiutano a tenere sotto controllo la formazione di batteri nella bocca.
  7. Aloe vera – Allo stato naturale o in gel, l’aloe vera è una pianta dalle note proprietà antinfiammatorie, applicata sulle gengive aiuta a rallentare il sanguinamento e ridurre il gonfiore.
  8. Alimenti (giusti!) – Come sempre l’alimentazione condiziona notevolmente il nostro stato di salute, anche quello della bocca. Al fine di prevenire gengiviti e simili, è consigliato consumare latticini per favorire il giusto apporto di calcio, nonché verdure per favorire un’adeguata pulizia di denti e gengive grazie all’elevato contenuto di acqua e fibre, e prodotti a base di vitamina C (ad esempio agrumi e carote) e vitamina K (ad esempio spinaci, cavolo) che favoriscono il benessere delle gengive, limitando la formazione di infezioni.
  9. Stress – Lo stato emotivo può provocare un abbassamento delle difese immunitarie, andando anche a condizionare lo stato di salute delle nostre gengive, a causa di un accumulo di placca.
  10. Fumo – È il grande nemico della salute di denti e gengive. Il tabacco favorisce il sanguinamento delle gengive, rendendole più sensibili all’azione dei batteri.

Se nonostante questi accorgimenti, dopo qualche giorno dalle vostre gengive continua a fuoriuscire sangue e avvertite una sensazione di dolore è bene consultare un dentista per comprendere come curare le gengive sanguinanti.

Come sempre, la soluzione migliore è la prevenzione, anche quando facciamo riferimento a delle comuni gengive che sanguinano a causa di un’infezione in corso o di altri motivi.

Una buona igiene orale quotidiana rappresenta la soluzione migliore per ovviare a problemi di questo tipo. Per limitare il rischio di gengive sanguinanti è bene utilizzare uno spazzolino a setole morbide ed evitare di spazzolare i denti con molta forza.

Per una corretta igiene orale o il mantenimento di uno stato di salute ottimale delle vostre gengive è bene completare la pulizia con filo interdentale e collutorio privo di antibatterico e alcool, formulato a base di Fluoruro amminico e fluoruro stannoso, pensato per l’igiene orale quotidiana e utile per favorire la naturale rigenerazione delle gengive irritate.

Quando le gengive sanguinano, invece, è consigliabile far ricorso a collutori contenenti antibatterico, quali clorexidina allo 0,20% e/o cetilpiridinio cloruro, anche arricchiti con hamamelis.

Seguendo questi consigli e fissando delle visite periodiche presso il vostro dentista potrete godere di un sorriso smagliante, senza correre il rischio di veder riflesse allo specchio gengive sanguinanti e gonfie.

Ultimo aggiornamento – 18 Giugno, 2019

Le informazioni proposte in questo sito non sono un consulto medico. In nessun caso, queste informazioni sostituiscono un consulto, una visita o una diagnosi formulata dal medico. Non si devono considerare le informazioni disponibili come suggerimenti per la formulazione di una diagnosi, la determinazione di un trattamento o l’assunzione o sospensione di un farmaco senza prima consultare un medico di medicina generale o uno specialista.
Contenuti correlati
Una bambina sorridente batte il cinque al dentista
Sigillatura dei primi molari: una protezione fondamentale

La sigillatura dei primi molari è una misura preventiva fondamentale per proteggere i denti dei bambini dalle carie. Scopri quando farla, come funziona e perché è così efficace.