icon/back Indietro

Pneumatocele

Dr.ssa Marialuisa Lugaresi Medico Chirurgo
Redatto scientificamente da Dr.ssa Marialuisa Lugaresi, Chirurgo Generale
Pneumologia
Pneumatocele

Cos'è un pneumatocele?

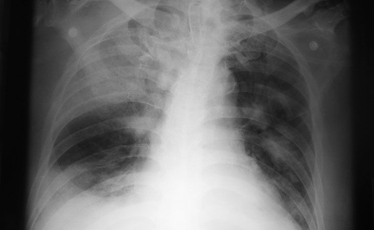
Un pneumatocele è una  raccolta aerea parenchimale polmonare, di aspetto cistico, secondaria a traumi bronchiali o ad infiammazioni in grado di determinare, con un meccanismo a valvola, la penetrazione di aria nel parenchima polmonare.

Come avviene la diagnosi del pneumatocele?

E' importante la diagnosi differenziale per comprendere le altre condizioni che potrebbero causare sintomi simili, in questa diagnosi è bene valutare che non si tratti di cancro ai polmoni, tubercolosi, ascesso al polmone.

Quale trattamento adoperare in caso di pneumatocele?

In caso di pneumatocele il trattamento di solito è di supporto e comprende il monitoraggio e l'osservazione. In caso di complicanze (sovrainfezione della cavità o ascessualizzazione), è necessario procedere all’aspirazione o al drenaggio percutaneo della raccolta, eco- o TC-guidato.

In caso di fallimento di tali metodiche mininvasive, è necessario il ricorso ad un intervento chirurgico toracoscopico o in toracotomia, che a seconda dei casi può andare dalla resezione limitata con risparmio di parenchima sino alla lobectomia.

Contenuti correlati

icon/card/pneumologia
Difficoltà respiratorie
Le difficoltà respiratorie possono sopraggiungere per varie cause. Occorre riconoscere il motivo della difficoltà respiratoria, per giung...
icon/card/pneumologia
Tosse secca
La tosse secca è un sintomo particolarmente fastidioso che può avere più di un'origine. Occorre individuare la causa esatta del malessere...
icon/card/medicina generale
Starnuto
Lo starnuto è una manifestazione fisiologica, spesso usata dall'organismo per espellere sostanze irritanti o batteri.